Home > 9 Derwin Kesecker DMX 3-3-26

Step 2: Select image to markup, click Generate Report button at the bottom when done.

Calibration Set!

Patient Data | Add image | Add findings | Download Images

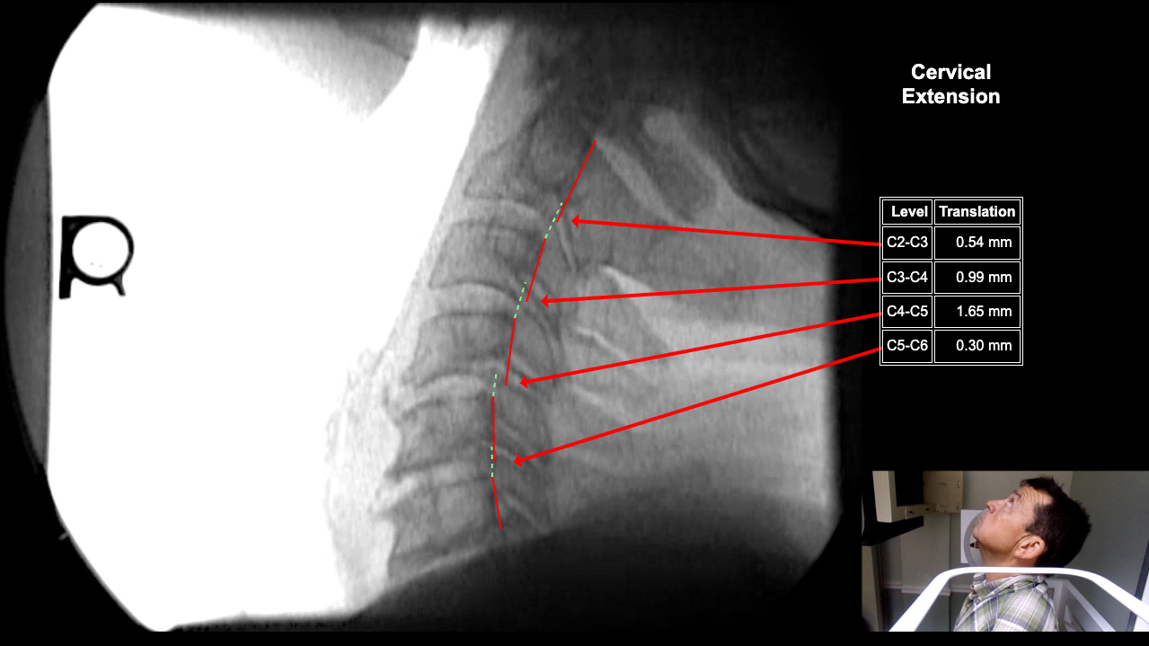
Image Name Image Type Image

Calibrate Image

Calibrate Image

Calibrate Image

Calibrate Image

Calibrate Image

Calibrate Image

Calibrate Image