Home > Heather Garris 11-26-25

Step 2: Select image to markup, click Generate Report button at the bottom when done.

Calibration Set!

Patient Data | Add image | Add findings | Download Images

Image Name Image Type Image

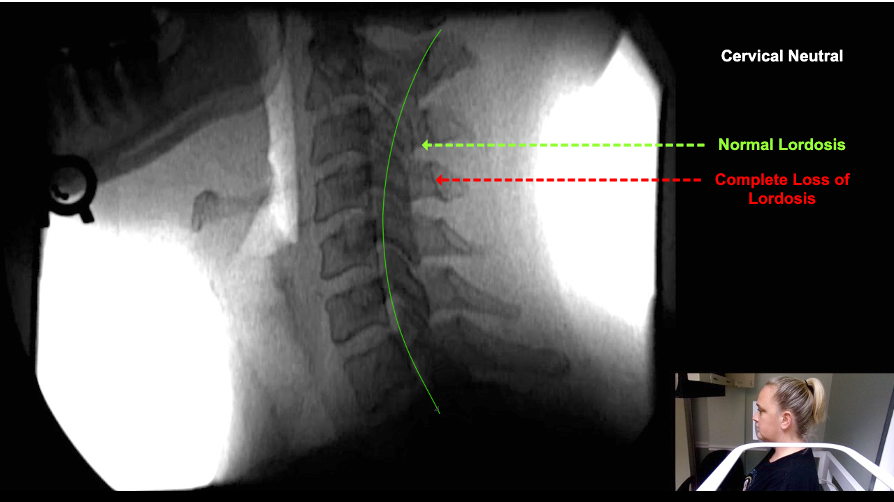
Calibrate Image

Calibrate Image

Calibrate Image

Calibrate Image

Calibrate

Calibrate Image

Calibrate Image

Calibrate Image