Home > Luzeyla Orellas 9-3-25

Step 2: Select image to markup, click Generate Report button at the bottom when done.

Calibration Set!

Patient Data | Add image | Add findings | Download Images

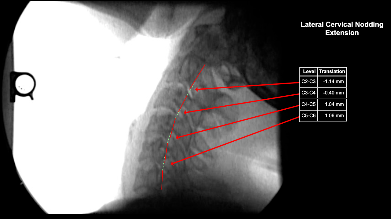
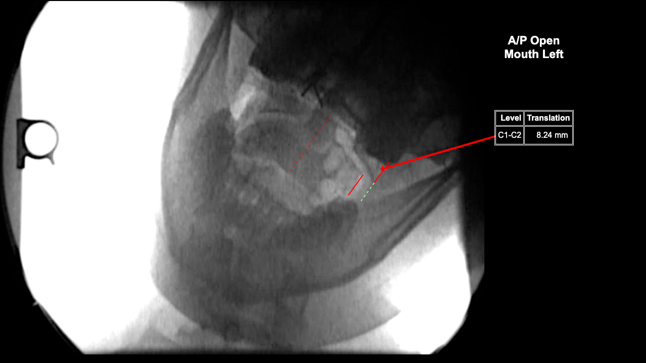
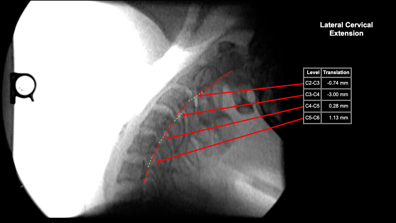
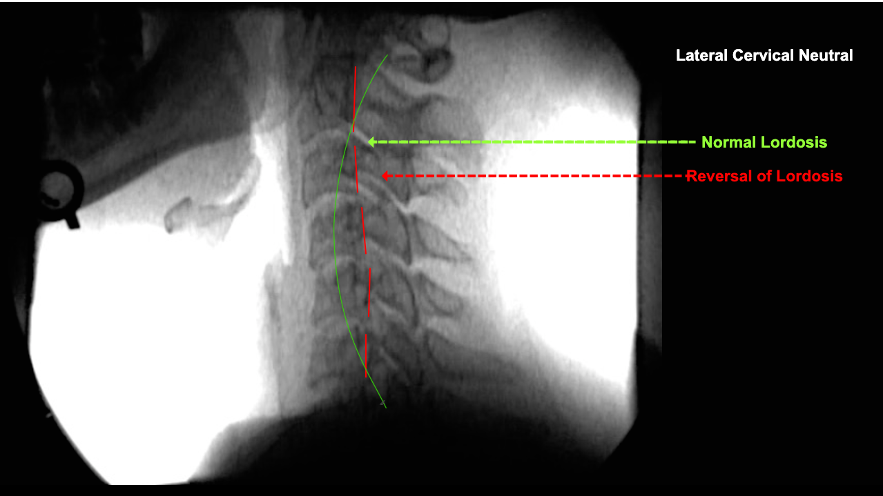
Image Name Image Type Image

Calibrate Image

Calibrate Image

Calibrate Image

Calibrate Image

Calibrate Image
Image 2

Calibrate Image

Calibrate Image